Thursday, November 20, 2025
Vietnamese
Vietnamese
English
French
Русский
中文
Nghe An News
Nghe An Daily Newspaper
Nghe An weekend
Log in
Nghe An Newspaper:
Nghe An Television:
Latest
Current events
Forum
Human Resources
Party building
Everyday beauty
Protecting the ideological foundation
Economy
Industrial
New rural construction
Agriculture
Market
Agricultural extension
Real estate
Car
International
Comment
News
Society
Bridge of Love
Religion - Belief
Culture
Defense
Tourism
Poetry - Stories
Putting resolutions into practice
Education
Law
Security - Order
Advise
Case file
Sport
SLNA
Highlight
Domestic
Nghe An Newspaper Cup
International
Business Connection
Classifieds
Video
Society
Sport
National defense and security
Reportage - Chronicle
Cars and life
Current events
Discover
Entertainment
People ask, authorities answer
TV
Image
Health
Advise
Medicine & Nutrition
Health & Beauty
News
Labor
Job
Entertainment
Showbiz
Short Video
Latest
Nghe An News
Nghe An Daily Newspaper
Nghe An weekend
Current events
Forum
Human Resources
Party building
Everyday beauty
Protecting the ideological foundation
Economy
Industrial
New rural construction
Agriculture
Market
Agricultural extension
Real estate
Car
International
Comment
News
Society
Bridge of Love
Religion - Belief
Culture
Defense
Tourism
Poetry - Stories
Putting resolutions into practice
Education
Law
Security - Order
Advise
Case file
Sport
SLNA
Highlight
Domestic
Nghe An Newspaper Cup
International
Business Connection
Classifieds
Video
Society
Sport
National defense and security
Reportage - Chronicle
Cars and life
Current events
Discover
Entertainment
People ask, authorities answer
TV
Image
Health
Advise
Medicine & Nutrition
Health & Beauty
News
Labor
Job
Entertainment
Showbiz
Short Video
Reflection
Digital transformation
Technology
Infographics
eMagazine
Podcast
Nghe An language
Literature and art
Go to Nghe An
Nghe people far from home
Land and People
West
Reportage
New policy
Anti-waste
Party Congress
National Party Congress
Nghe An Provincial Party Congresses
Executive Committee of Nghe An Provincial Party Committee
Party Congresses at all levels for the 2025 - 2030 term
Comments on Documents
News
Q&A
List of delegates
rare disease
Rare Disease News Updates
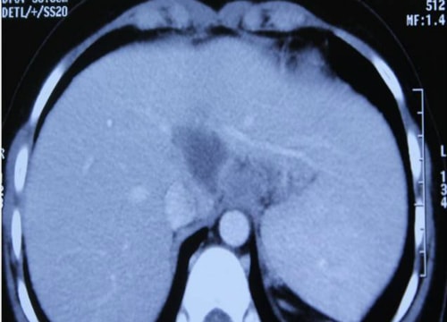
Nghe An General Friendship Hospital: Successful surgery on a rare case - primary gastrointestinal aortic fistula
(Baonghean.vn) - Primary aorto-gastrointestinal fistula is a lesion that creates a direct communication between the aorta and the digestive tract, causing very severe gastrointestinal bleeding. The disease...
Health
Rare black fungus outbreak in India amid severe Covid pandemic
In India, amid the worsening situation due to the Covid-19 pandemic, the country has recorded many cases of Mucormycosis fungal infection - India Today quoted...
The woman fainted when she saw a handsome man.
Suffering from a rare brain disease, the 32-year-old woman is forced to avoid looking at men because whenever she sees someone attractive, she loses control and faints.
Cua Dong General Hospital successfully performed surgery on a patient with splenic infarction and necrosis due to torsion.
(Baonghean.vn) - Recently, Cua Dong General Hospital successfully diagnosed and performed a splenectomy on patient Nguyen Thi T. (17 years old), residing in Mai Phu, Loc Ha, Ha Tinh, due to...
Rare patient with diaphragmatic hernia discovered at Cua Dong General Hospital
(Baonghean.vn) - Recently, patient Dau Thi L. (77 years old), in Duc Tho district (Ha Tinh) visited the Professor's Clinic, Cua Dong General Hospital (Vinh city, Nghe An) and was diagnosed...
Transient abdominal pain, baby girl discovered to have rare disease
(Baonghean) - Choledochal cyst is a rare disease in children with a rate of 1/100,000 - 1/1,500,000 and women are more affected than men (ratio 4:1). If the patient is not detected and treated promptly...
Saving the life of a patient with a ruptured aortic aneurysm
(Baonghean.vn) -
Happy moment of a boy with a rare disease
March 20, 2017 08:48
(Baonghean.vn) – Little Conner Armstrong was not lucky enough to attend his own first birthday, but at least he got to witness the happiest day of his life...
The unhappy life of a family with two children suffering from thalassemia
February 20, 2017 17:05
(Baonghean.vn) - Misfortune seems to never stop following the poor family when both children are born
Vinh International Hospital successfully performed surgery on a rare case
December 28, 2016 09:28
(Baonghean) - Glomus tumor is a rare disease, often causing difficulties in the diagnosis and treatment process. However, with modern equipment and high technical expertise, recently...
Vietnamese girl becomes the second rare case of liver tuberculosis in the world
September 21, 2016 21:19
Having liver tuberculosis due to Wilson's disease, a 20-year-old female student in Dong Thap had to be treated for more than 3 years at Cho Ray Hospital.
Head transplant recipients face feelings worse than death
May 14, 2016 21:39
Valery Spiridonov, a 30-year-old Russian man, has become the first person in the world to volunteer for a head transplant, which involves attaching his head to another body to...
For the first time, Vietnam performed surgery on a child with a rare disease.
March 22, 2013 22:07
That is baby Hoang Minh Ngoc, 4 months old in Hai Phong (the 3rd case in Vietnam with this syndrome discovered).
1 rare disease case in the world wants to be treated in Vietnam
May 3, 2012 11:49
Professor, Dr. Nguyen Thanh Liem, Director of the National Children's Hospital, said on May 2 that for the first time, a foreign man contacted the hospital hoping to be treated for a disease...
See more
POWERED BY
ONE
CMS
- A PRODUCT OF
NEKO
×
Log in
Sign in with Google