Wednesday, November 19, 2025
Vietnamese
Vietnamese
English
French
Русский
中文
Nghe An News
Nghe An Daily Newspaper
Nghe An weekend
Log in
Nghe An Newspaper:
Nghe An Television:
Latest
Current events
Forum
Human Resources
Party building
Everyday beauty
Protecting the ideological foundation
Economy
Industrial
New rural construction
Agriculture
Market
Agricultural extension
Real estate
Car
International
Comment
News
Society
Bridge of Love
Religion - Belief
Culture
Defense
Tourism
Poetry - Stories
Putting resolutions into practice
Education
Law
Security - Order
Advise
Case file
Sport
SLNA
Highlight
Domestic
Nghe An Newspaper Cup
International
Business Connection
Classifieds
Video
Society
Sport
National defense and security
Reportage - Chronicle
Cars and life
Current events
Discover
Entertainment
People ask, authorities answer
TV
Image
Health
Advise
Medicine & Nutrition
Health & Beauty
News
Labor
Job
Entertainment
Showbiz
Short Video
Latest
Nghe An News
Nghe An Daily Newspaper
Nghe An weekend
Current events
Forum
Human Resources
Party building
Everyday beauty
Protecting the ideological foundation
Economy
Industrial
New rural construction
Agriculture
Market
Agricultural extension
Real estate
Car
International
Comment
News
Society
Bridge of Love
Religion - Belief
Culture
Defense
Tourism
Poetry - Stories
Putting resolutions into practice
Education
Law
Security - Order
Advise
Case file
Sport
SLNA
Highlight
Domestic
Nghe An Newspaper Cup
International
Business Connection
Classifieds
Video
Society
Sport
National defense and security
Reportage - Chronicle
Cars and life
Current events
Discover
Entertainment
People ask, authorities answer
TV
Image
Health
Advise
Medicine & Nutrition
Health & Beauty
News
Labor
Job
Entertainment
Showbiz
Short Video
Reflection
Digital transformation
Technology
Infographics
eMagazine
Podcast
Nghe An language
Literature and art
Go to Nghe An
Nghe people far from home
Land and People
West
Reportage
New policy
Anti-waste
Party Congress
National Party Congress
Nghe An Provincial Party Congresses
Executive Committee of Nghe An Provincial Party Committee
Party Congresses at all levels for the 2025 - 2030 term
Comments on Documents
News
Q&A
List of delegates
head cancer
Head cancer related news
Detecting two cancers from faint signs
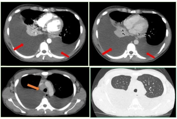
A 36-year-old man had difficulty breathing, weight loss, and fever in the afternoon. He went to the doctor and was diagnosed with thyroid and lymph node cancer at the same time.
Health
Seemingly harmless bruises on the hand are signs of cancer
The 30-year-old woman was surprised to discover that a purple bruise on her arm was a warning sign of cancer.
The most dangerous time to smoke
(Baonghean.vn) - People who smoke right after waking up in the morning may face an increasing risk of lung cancer, head and neck cancer compared to those who...
Experts reveal 10 'red flags' on the body that show cancer is approaching
With the remarkable development of medicine, cancer today is no longer "incurable" if detected early and treated promptly.
7 signs of cancer that you cannot ignore
Many people lose the chance to cure cancer because they ignore the earliest warning signs in their body.
5 cooking habits that cause cancer, 90% of Vietnamese people are suffering from them
Perhaps you cannot imagine that even if you cook your own food, just a little mistake can potentially cause cancer for your whole family.
Cancer, heart attack due to frequent night work
Regularly working nights is linked to breast cancer and other cancers, in addition to diabetes, heart attacks and sleep disorders.
8 symptoms of pancreatic cancer should not be ignored
August 20, 2018 09:20
Symptoms often aren't noticeable until the disease is in its late stages, but if you notice any of the following signs of pancreatic cancer, talk to your doctor.
Nosebleeds can be a sign of nasopharyngeal cancer.
August 8, 2018 15:54
Nasopharyngeal cancer is often only detected in its late stages. Therefore, you should see a doctor immediately if you notice the following unusual signs:
If you see this sign on your nails, you need to get checked for cancer immediately.
June 16, 2018 19:38
While you might never think to check your nails for cancer, one nail technician did just that.
Jaundice, rash, loss of appetite: Beware of pancreatic cancer
March 21, 2018 15:23
Pancreatic cancer is a primary malignant tumor originating from the epithelium of the pancreas, the islets of Langerhans cells and connective tissue. Of which 90% is pancreatic carcinoma or also known as cancer...
Unexpected causes of bruises on your skin
March 19, 2018 22:30
In rare cases, bruising is a sign of leukemia, bone marrow cancer, or lymphoma.
Thought to have flu turned out to be terminal cancer
March 3, 2018 06:55
Diagnosed with the flu by a doctor, Hunter Brady (USA) was shocked to discover he actually had lymphoma.
Signs to recognize 6 common cancers
February 4, 2018 07:39
This year's World Cancer Day on February 4 has the theme "We can, I can". The message aims to raise public awareness and call on the community to examine, screen, and detect...
Surprised by the cancer prevention properties of lemongrass
August 19, 2017 07:55
According to Oriental medicine, lemongrass has a spicy taste, aromatic smell, warm properties, and has the effect of inducing sweating, promoting urination and digestion. Lemongrass is mainly used as a medicine to treat colds, bloating, diarrhea, etc.
Dimples on the chest warn of breast cancer
August 1, 2017 07:01
A lump is the main factor determining breast cancer, some body changes such as dimples on the chest also warn of the terrible disease.
5 signs to help you detect colorectal cancer early
April 17, 2017 08:29
Frequent digestive disorders, straining when defecating, sometimes accompanied by blood and mucus, taking antibiotics for a long time without improvement... are some of the early signs of suspected colorectal cancer.
Self-exam for skin cancer in 5 minutes
September 26, 2016 19:54
Just 5 minutes of following the simple steps below, you can check your body for unusual signs that warn of skin cancer.
Dau Thi Huyen Tram - the great mother
August 31, 2016 19:38
(Baonghean.vn) - On August 31, after more than 2 months of special treatment, baby Tran Gau - son of Lieutenant Dau Thi Huyen Tram was discharged from the hospital to the boundless happiness of his family.
See more
POWERED BY
ONE
CMS
- A PRODUCT OF
NEKO
×
Log in
Sign in with Google